Dental Smile Gallery in Harrison NJ

Dentistry Before and After Photos

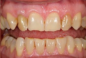
Dr. Nasir General Dentistry | Invisalign reg , Implant Dentistry and Periodontal Treatment

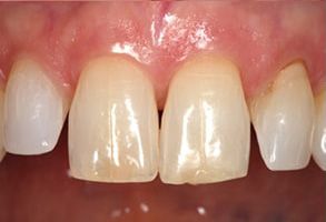
Before

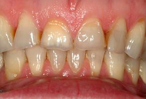
Dr. Nasir General Dentistry | Extractions, Night Guards and Sleep Apnea

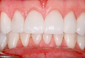
After

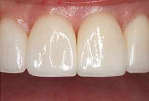
Dr. Nasir General Dentistry | Sedation Dentistry, Preventative Program and Itero Element Intraoral Scanner

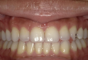
Before

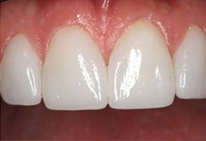
Dr. Nasir General Dentistry | ZOOM  Whitening, Ceramic Crowns and Sedation Dentistry

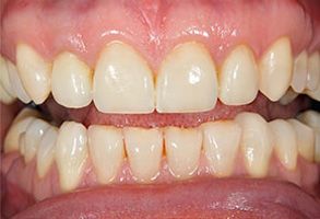
After

Dr. Nasir General Dentistry | TMJ Disorders, Periodontal Treatment and Snoring Appliances

Before

Dr. Nasir General Dentistry | Preventative Program, Snoring Appliances and All-on-6 reg

After

Dr. Nasir General Dentistry | Intraoral Camera, Itero Element Intraoral Scanner and Snoring Appliances

Before

Dr. Nasir General Dentistry | Sleep Apnea, Digital Radiography and Preventative Program

After

before

Before

Dr. Nasir General Dentistry | Digital Radiography, Rotary Endodontics and Night Guards

After

Dr. Nasir General Dentistry | Invisalign reg , Implant Dentistry and Periodontal Treatment

Before

Dr. Nasir General Dentistry | Extractions, Night Guards and Sleep Apnea

After

Dr. Nasir General Dentistry | TMJ Disorders, ZOOM  Whitening and Intraoral Camera

Before

Dr. Nasir General Dentistry | Emergency Treatment, Cosmetic Dentistry and Implant Dentistry

After

Dr. Nasir General Dentistry | Periodontal Treatment, Rotary Endodontics and Extractions

Before

Dr. Nasir General Dentistry | Sports Mouthguards, VELscope reg  Cancer Screening and Night Guards

After

Dr. Nasir General Dentistry | Preventative Program, TMJ Disorders and ZOOM  Whitening

Before

Dr. Nasir General Dentistry | Digital Impressions, Invisalign® and Rotary Endodontics

After

Dr. Nasir General Dentistry | Intraoral Camera, Preventative Program and Extractions

Before

Dr. Nasir General Dentistry | Preventative Program, Invisalign® and TMJ Disorders

After

Dr. Nasir General Dentistry | Dentures, Periodontal Treatment and Pediatric Dentistry

Before

Dr. Nasir General Dentistry | Extractions, Rotary Endodontics and Sleep Apnea

After

Schedule a visit today!
Contact Us
Submit

Thank You!

We appreciate you taking the time to visit our site. We'll review your message and be in touch with you soon.

Continue
Harrison NJ Cosmetic Dentist